自国家发布新冠「乙类乙管」以来及新冠肺炎更名为新冠感染以来,有关白肺的讨论引起广泛关注。
中西部地区某三甲医院医生白丽和同事这段时间接诊到很多主动来院要求查 CT 的患者,「一些患者会因为从媒体看到肺部感染和白肺的一些报道,产生恐慌情绪,主动要求拍个片子看看情况。」
同样的就诊趋势发生在北京。一家三甲医院的医生柳橙表示,所在医院急诊排一个肺部 CT 需要排十几个小时,「早上排队,半夜才能做上。」
「其实,我们并不建议没有重症高风险的患者常规做肺部 CT 排查,会占用一部分医疗资源。」但与此同时,柳橙提出另一个隐忧:「与之相对的,有一些患者,早期没有及时识别感染进展,最后拖延到了重症 ,等到住上院时,肺部的影像体征已经是双侧大白肺。」
那么,白肺在日常生活中常见吗?什么样的患者需要医疗干预介入? 为了解清楚新冠感染与白肺的关系,首先我们要明确什么是白肺。
首先,白肺不是一个专业的医学术语,因而并没有一个严格的医学定义。
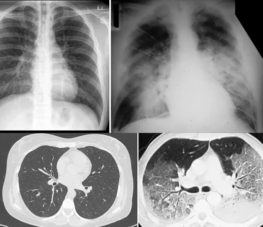
12 月 27 日,国家卫健委医政司司长焦雅辉答记者道:「『白肺』是肺部影像学表现的一个口语化描述。我们知道,肺部是由肺泡组成的,肺泡里面充满空气,进行 CT 或者 X 线检查的时候,射线穿过肺泡,影像表现是黑色区域,但是当肺泡里出现炎症或感染,有渗出液和炎性细胞的时候,肺泡就被这些渗出液和炎性细胞所填充,射线就穿不透,在影像学上出现白色区域。」
值得注意的是, 并非所有肺部严重感染均可称为「白肺」,但肺部影像学白色区域到达多少才能称为白肺,并没有一个明确的共识。
中华医学会呼吸病分会第十届委员、云南大学附属医院呼吸与危重症医学科主任医师邓毅书认为:「到底病变范周大到多少程度算白肺,并没有一个非常严格的界定。两肺的渗出病灶占据 70% 以上,我们可能会称它为白肺。 但临床上,我们主要是按照国家诊疗方案对新冠病毒肺炎分型,有肺炎的分为普通型、重型、危重型,不会下『白肺』这样的诊断。 」
参考美国国立卫生研究院(NIH)对于新冠重症(severe illness)的定义 [1] ,肺浸润达 50% 以上为诊断新冠重症的标准之一。
正常胸片/胸部 CT vs ARDS 图源:参考文献[2]
聊到白肺,不得不聊 ARDS。临床上,白肺一般指肺部大面积炎症所产生的影像学表现,具体表现为双肺浸润影,多见于急性呼吸窘迫综合症(acute respiratory distress syndrome, ARDS)。
目前,在临床上多采用柏林标准诊断 ARDS [2] 。其具体诊断标准为:
1. 明确诱因下七天内出现急性或进展性呼吸困难
2. 影像学上出现双肺浸润,不能完全用胸腔积液、肺不张或结节解释
3. 呼衰不能完全被心衰或体液潴留解释
4. PaO2/FiO2 ≤ 300 mmHg。
图源:参考文献[2]
ARDS 是重症新冠的最常见并发症,一些研究显示多达 40% 的新冠住院患者会发生ARDS,诊断为 ARDS 是新冠住院患者预后不良的最强预测因素 [3] 。新冠相关 ARDS 与其他类型的 ARDS 在临床表现上相似 [4] 。
在一项关于纳入了 10,815 例新冠相关 ARDS 的 meta 分析中 [5] ,新冠相关 ARDS 的综合死亡率为 39%(95% CI: 23-56%)。其中,新冠相关 ARDS 死亡率在中国较高,为 69%(95% CI: 67-72%)。
关于新冠相关 ARDS 的危险因素,一项纳入了 116,539 名新冠住院患者的回顾性研究显示 [6] ,ARDS 在新冠住院患者中的发病率约为 3.6%,年龄 >60 岁,男性,糖尿病为新冠住院患者发生 ARDS 的危险因素。
该项研究还给出了新冠相关 ARDS 的预后情况。总体来说,新冠相关 ARDS 预后并不乐观。 在诊断为 ARDS 的 4237 名患者中,88.8% 的患者死亡。年龄 >60 岁、性别男性、存在至少一项心血管疾病为预后不良的危险因素,其中年龄 >80 岁为最显著的危险因素(OR = 8.94, 95% CI: 6.24 – 12.80, p <0.001)。
图源:参考文献[5]
近来有消息称,白肺可能与接种新冠疫苗以及武汉原始毒株有关。对于公众的关切,国家卫健委医政司司长焦雅辉明确表示, 「现在出现的所谓『白肺』与原始毒株和疫苗接种没有关系,并且当前的流行优势毒株仍然是奥密克戎毒株。」
那接种疫苗可以预防白肺吗?
发表在 JAMA 的一篇回顾性研究表明 [7] ,未接种疫苗患者占所有新冠住院患者的 88.1%,占所有死亡病例或需机械通气病例的 93.9%。 相较于未接种疫苗的患者,接种疫苗与较低的 ICU 收治率(24.6% vs 40.1%; absolute difference, −15.5%; 95% CI, −23.1% to −7.8%; P < .001)、及较低的机械通气需求率(7.7% vs 23.0%; absolute difference, −15.3%; 95% CI, −20.4% to −10.2%; P < .001)相关。
图源:参考文献[7]
接种疫苗不但与新冠患者较低的 ARDS 发病率相关,且对 ARDS 患者死亡率有保护作用。一篇发表在 JAMA,纳入了 265 名新冠相关 ARDS 患者的队列研究显示 [8] , 完全接种疫苗对新冠相关 ARDS 患者相较于未完全接种疫苗有保护作用,完全接种疫苗组死亡率显著低于未完全接种疫苗组(61.5% vs 68.2%, p=0.03)。
图源:参考文献[8]
第二个问题是,感染不同毒株对新冠患者的预后有什么关系?
总体而言,相较与感染 Delta 毒株,Omicron 毒株与较低的 ICU 收治率相关 [9] 。一篇发表在 Nature 的队列研究 [10] 显示,感染 Omicron 与 Delta 毒株的新冠患者 28 天死亡率没有显著区别;在感染 Omicron 的患者中,BA.1/BA1.1 与 BA.2 28 天死亡率也没有显著区别。
症状上来说,Omicron 毒株症状较 Delta 毒株更为严重,具体表现为肺外症状较为明显,且从出现症状到收治入 ICU 的时间间隔更短(7 vs 9, p = 0.006);但与此相反,感染 Delta 毒株与更为频繁的顽固性低氧血症及使用 V-V ECMO (8.2% vs 1.4%, p = 0.011),更长的机械通气时间(19 vs 12.5, p = 0.019)相关。
对于公众对毒株的担忧,中国疾控中心病毒病所所长许文波表示, 「12 月初至今国内流行的新冠病毒亚分支均为 Omicron 变异株,其中 BA.5.2 与 BF.7 仍是绝对优势毒株。并没有发现 Delta 变异株流行。」
聊临床实际情况前,先来看一组数据。欧洲疾病预防与控制中心(ECDC)的研究显示,新冠重症最常见的表现为肺炎。7.5% 的新冠患者需要住院治疗,该比例在 30 岁以下患者为 1.3%,在 80 岁以上患者为 34.9% [11] 。
据估计,根据不同的标准,约 8~32% 的新冠住院患者有收入 ICU 的需求,其中收入 ICU 的新冠患者死亡率约为 34~50% [4] 。2020 年初武汉疫情爆发时的研究显示 [12] ,约 27% 的入院患者被诊断为 ARDS,约 39% 需要收入 ICU。
图源:参考文献[12]
据 CDC 数据显示 [13] ,约 10% 的新冠住院患者需要气管插管或机械通气。
而在医院收治后,治疗则多以指南为主。邓毅书主任表示,「首先,我们会对肺炎进行鉴别,是否合并其他感染,是否存在其他基础病,然后对患者进行分级、分类管理。现在大家对新冠感染所导致肺炎的鉴别、诊断都已经比较熟练,我们会根据检查回报的提示的情况,对患者进行相应治疗。」
比如,指南 [14] 推荐,对于低氧气需求的患者,可采用鼻导管吸氧(最高可至6L/min);对于氧气需求为 6~15 L/min 的患者,可采用高流量鼻导管吸氧(high flow nasal oxygen, HFNO)或无创正压通气 (non-invasive ventilation, NIV)。
发表在 Critical Care 的专家共识 [4] 认为,意识改变、血流动力学不稳定、非侵入性氧气治疗不能维持 SpO2 > 90% 可作为气管插管的指征。WHO 指南 [14] 认为,应由受过专业训练的医务工作者进行气管插管操作。
对于绝大多数需要氧气治疗的新冠患者,指南 [15] 推荐使用地塞米松 6mg 进行 10 天治疗。对于需要氧气治疗单不需要机械通气或 ECMO 的患者,还可考虑增加瑞德西韦。对于住院 96 小时内,需要 ICU 护理 24~48 小时内的需要 HFNO/NIV 或机械通气/ECMO 的患者,可在此基础上增加托珠单抗或巴瑞替尼。
此外,指南 [15] 推荐对所有新冠住院治疗进行抗凝治疗预防 DVT。
图源:参考文献[15]
也因为白肺的治疗以支持、对症治疗为主,最终依旧需要回归到医疗资源储备问题: 医院中实际的 ICU 运转状况如何?呼吸机等基础支持设备是否够用?
柳橙表示:「事实上,我们医院 ICU 一直在满床运转,送走一个,住进来一个。呼吸病房已经开到呼吸七病房了,呼吸八病房也在筹备中,其他有些医院已经开到呼吸十几病房,很多病房都腾空了拿来收新冠。我们前几天新开了一个临时监护室,患者名单在开之前就确认了,一开马上就住满,情况都比较重。」
白丽所在的医院为应对新冠重症新开设了一个 ICU 单元,专门收治因为新冠导致白肺而需要呼吸机支持的新冠患者,尽管如此,床位还是很紧张,很多合并基础病的老年患者需要分流到其他内科专业科室。「现在感染新冠的病人非常多,很多是在家查抗原阳性了,又有憋气等症状,到医院一查是白肺被收治入院。」
与呼吸病房与 ICU 紧缺相对应的,是医务人员的紧缺。「这个重症 ICU 理论上是可以收到 50~100 张,但因为现在医护资源非常紧张,我们只能将其控制在 50 张以内。」白丽表示。
与之相关的,针对 ICU 医护人员的培训也在紧锣密鼓进行。白丽所在医院组织了近三年支援武汉或者本地疫情的专家,组成一个专家会诊制度,「每天有不同专家负责会诊,对全院收治有合并基础症但不住在呼吸科或者 ICU 的患者进行治疗方案调整和指导。」
根据一个月以来的接诊情况,白丽和同事分析了患者重症的情况,「这边的病例比较早,我们发现新冠导致白肺的患者人数并不少,最多一天曾经收过 15 个患者。因为取消全民核酸检测,无法准确统计发病人数和死亡率, 但如果回顾这一个多月医院接诊和救治情况,有基础疾病的老年人合并病毒性肺炎更需要临床严密监测和关注,这一类脆弱群体临床风险更高。 」
但她同样表示,对于没有高危因素的人群,白肺发生比例并不高。另外,白丽和同事们发现现在新冠的肺部阴影吸收非常快,「和之前甲流或两年前的新型冠状病毒导致的病毒性肺炎比较治疗效果好得多。 中老年人,即使出现需要插管或 ECMO 的情况,治疗效果都比两年前的新冠要好。总体上,虽然还是会看到白肺,给予规范积极治疗以后,患者肺部病灶比传统的大白肺恢复得快,肺部纤维化后遗症少。 」
另一件值得关注的事,是患者的早期识别入院。
邓毅书主任认为,尤其是针对有高危风险的老年患者,不管肺炎轻重都建议纳入医院治疗,「有肺炎了,住院就是对的,可以观察预警指标早期介入。从目前的经验来看,越是早期介入,治疗效果和预后都会更好。」
为此,邓毅书主任所在医院采取两套病房管理模式,一是全院开放病床给新冠感染致肺炎普通型患者,培训所有医务人员,掌握重症预警指标,二是特设重症或危重症患者病房。「全院开放的病房,主要就是为了做早期识别、介入,虽然是各科大夫齐上阵,不过都会有呼吸与危重症、老年病、感染性疾病科相关专家分组管理,进行查房。」
夹在资源紧缺和患者人数骤增之间,多名医生均表示需要关注新冠导致肺炎的早期识别,但与此同时,大家也建议减少不必要的焦虑。
以儿童患者为例,近期,一则儿童咳嗽一周成白肺的消息引起广泛关注。对此,浙江大学医学院附属儿童医院呼吸科王颖硕主任表示:「从 CT 图像上来看,报道中的案例并不能称之为白肺,存在夸大的形容。儿童新冠肺炎影像学表现比较多样,可以是像成人患者一样的多发磨玻璃影,亦可以表现为局限的实变影,也可以表现为局部的透亮度增高,以及多发的斑片状渗出影等,不像成人这般典型的改变。临床表现也是如此,很少有呼吸系统重症表现。」
王颖硕主任提示,在儿童领域来看,由 Omicron 引发肺炎至重症的病例并不多见,在支持/对症的治疗维度,同样需要区别于成人的治疗。
相较于过多关注新冠引起的白肺,浙江大学医学院附属儿童医院感染科黄丽素主任提醒,对于儿童新冠引起的呼吸道症状,更应注意新冠合并呼吸道合胞病毒(respiratory syncytial virus, RSV)、流感病毒或哮喘等基础疾病。
一篇纳入了 7780 儿科患者的系统综述 [16] 提到,约 5.6% 的确诊新冠的患者存在共感染;在共感染患者中,肺炎支原体感染约占 60%,流感病毒感染占 11.1%,RSV 感染占 9.7%,CMV、EBV、腺病毒等也可造成共感染。对此,指南建议 [17] ,在流感与 RSV 流行季,在检测新冠的同时推荐检测流感病毒,对 2 岁以下儿童还应检测 RSV 感染。
近期,白肺的概念在社会层面引起了很高的关注。黄丽素主任也提及今日接诊经历,上午门诊遇到两位家属担心患儿「白肺」而哭泣:「确实,支原体肺炎容易大面积实变,当混合新冠感染时,易造成白肺的假象。」 但因治疗方式不同,区分新冠与其他病毒感染很有必要。
云南大学附属医院呼吸与危重症医学科邓毅书主任同样表示谈及:「有很多患者非常焦虑,今天门诊一个年轻患者,觉得自己有很多不适症状。但检查结果回报都没有异常,最后只好给他开了抗焦虑的药物。」
专家们普遍认为,没有必要过度紧张。柳橙表示:「医院里确实出现一些白肺病例,但是如果放到社会面去看,这些病人绝并不是大范围人群。 我们还是呼吁更客观去看待这样一件事,将窗口留给更需要的患者群体。 」
致谢:本文经 沧州市中心医院呼吸内科 马育霞 副主任医师 专业审核
文中 白丽、柳橙 系化名
策划:carollero|监制:gyouza
参考资料:
[1]. COVID-19 Treatment Guidelines Panel. Coronavirus Disease 2019 (COVID-19) Treatment Guidelines. National Institutes of Health. Available at https://www.covid19treatmentguidelines.nih.gov/ . Accessed [Dec 29, 2022].
[2].Siegel, M.D. Acute respiratory distress syndrome: Clinical features, diagnosis, and complications in adults. 2022 Aug 23, 2022 [cited 2022 Dec 27]; Available from: https://www.uptodate.cn/contents/acute-respiratory-distress-syndrome-clinical-features-diagnosis-and-complications-in-adults .
[3].Michalski, J.E., J.S. Kurche,D.A. Schwartz, From ARDS to pulmonary fibrosis: the next phase of the COVID-19 pandemic? Transl Res, 2022. 241: p. 13-24.
[4].Nasa, P., E. Azoulay, A.K. Khanna, R. Jain, S. Gupta, Y. Javeri, et al., Expert consensus statements for the management of COVID-19-related acute respiratory failure using a Delphi method. Crit Care, 2021. 25(1): p. 106.
[5].Hasan, S.S., T. Capstick, R. Ahmed, C.S. Kow, F. Mazhar, H.A. Merchant, et al., Mortality in COVID-19 patients with acute respiratory distress syndrome and corticosteroids use: a systematic review and meta-analysis. Expert Rev Respir Med, 2020. 14(11): p. 1149-1163.
[6].Gujski, M., M. Jankowski, D. Rabczenko, P. Gorynski,G. Juszczyk, The Prevalence of Acute Respiratory Distress Syndrome (ARDS) and Outcomes in Hospitalized Patients with COVID-19-A Study Based on Data from the Polish National Hospital Register. Viruses, 2022. 14(1).
[7].Tenforde, M.W., W.H. Self, K. Adams, M. Gaglani, A.A. Ginde, T. McNeal, et al., Association Between mRNA Vaccination and COVID-19 Hospitalization and Disease Severity. JAMA, 2021. 326(20): p. 2043-2054.
[8].Grapsa, E., G. Adamos, I. Andrianopoulos, V. Tsolaki, V.G. Giannakoulis, N. Karavidas, et al., Association Between Vaccination Status and Mortality Among Intubated Patients With COVID-19-Related Acute Respiratory Distress Syndrome. JAMA Netw Open, 2022. 5(10): p. e2235219.
[9].Bouzid, D., B. Visseaux, C. Kassasseya, A. Daoud, F. Femy, C. Hermand, et al., Comparison of Patients Infected With Delta Versus Omicron COVID-19 Variants Presenting to Paris Emergency Departments : A Retrospective Cohort Study. Ann Intern Med, 2022. 175(6): p. 831-837.
[10].de Prost, N., E. Audureau, N. Heming, E. Gault, T. Pham, A. Chaghouri, et al., Clinical phenotypes and outcomes associated with SARS-CoV-2 variant Omicron in critically ill French patients with COVID-19. Nat Commun, 2022. 13(1): p. 6025.
[11].European Centre for Disease Prevention and Control. Clinical characteristics of COVID-19. 2022 Aug 15, 2022 [cited 2022 Dec 28]; Available from: https://www.ecdc.europa.eu/en/covid-19/latest-evidence/clinical .
[12].Huang, C., Y. Wang, X. Li, L. Ren, J. Zhao, Y. Hu, et al., Clinical features of patients infected with 2019 novel coronavirus in Wuhan, China. Lancet, 2020. 395(10223): p. 497-506.
[13].Centers for Disease Control and Prevention. Intubation or Ventilator Use in the Hospital by Week From Selected Hospitals. 2022 Jul 26, 2022 [cited 2022 Dec 27]; Available from: https://www.cdc.gov/nchs/covid19/nhcs/intubation-ventilator-use.htm .
[14].Wolrd Health Organization. Living guidance for clinical management of COVID-19. 2022 Nov 23, 2021 [cited 2022 Dec 27]; Available from: https://www.who.int/publications/i/item/WHO-2019-nCoV-clinical-2021-2 .
[15].Arthur Y Kim, R.T.G. COVID-19: Management in hospitalized adults. 2022 Dec 19, 2022 [cited 2022 Dec 26]; Available from: https://www.uptodate.cn/contents/covid-19-management-in-hospitalized-adults?search=COVID%20treatment&source=search_result&selectedTitle=2~150&display_rank=2# .[16].Hoang, A., K. Chorath, A. Moreira, M. Evans, F. Burmeister-Morton, F. Burmeister, et al., COVID-19 in 7780 pediatric patients: A systematic review.EClinicalMedicine, 2020. 24: p. 100433.[17].Jaime G Deville, E.S., Christopher P Ouellette. COVID-19: Clinical manifestations and diagnosis in children. 2022 Nov 29, 2022 [cited 2022 Dec 28]; Available from: https://www.uptodate.cn/contents/covid-19-clinical-manifestations-and-diagnosis-in-children .本文来自微信公众号 “丁香园”(ID:dingxiangwang),作者:hyzhou,36氪经授权发布。




